
医院动态
详细内容
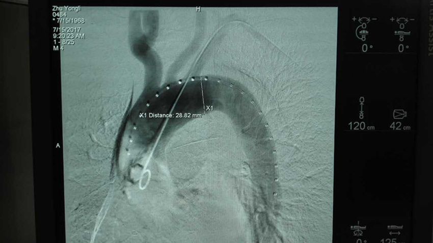
News7月15日上午,我院普外二科张文俊主任医师团队在上海九院血管外科陆信武教授的指导下成功完成全市首例局麻下无切口主动脉夹层修复术。
患者为男性,49岁,因胸腹部疼痛不适3天入院,于7月9日转入普外二科,经主动脉CTA造影检查显示,主动脉夹层壁间血肿形成。张文俊主任和汪志刚医师考虑到主动脉夹层患者突发死亡率高,风险大等因素,立即联系上海九院血管外科陆信武主任,在专家指导下,精心制定手术方案,积极做好各项术前准备工作。
7月15日上午9时,由普外二科汪志刚医师、张文俊主任手术,陆信武教授现场指导,为患者施行局麻,在DSA引导下行经右股动脉穿刺主动脉造影术+主动脉夹层腔内修复术,9:50手术顺利完成。目前病人一切正常,生命体征平稳。
此例手术也是我院普外二科加入上海第九人民医院集团血管外科医疗联盟后开展的首例手术,为进一步促进专科联盟合作奠定了良好的基础。



![]()
手术进行中



成功植入大血管支架

手术团队合影
2017年7月15日
![]() |
![]() |
![]() |
|
| 支付宝生活号 | 微信服务号 | 微信订阅号 | 在线留言 |