详细内容

News

我院呼吸与危重症医学科一病区成功开展滁州市首例内科胸腔镜检查术

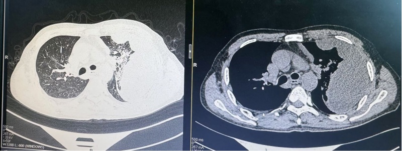
   患者苏先生今年49岁,因“咳嗽、咳痰伴发热10天”就诊于我院呼吸与危重症医学科一病区,入院后完善胸部CT提示:两肺炎症改变,右肺多发结节,两侧胸腔积液,左肺病变伴包裹性胸腔积液合并肺膨胀不全。患者在胸水NGS、胸水脱落细胞病理检查后仍不能确定左肺病变性质,科室团队进行集体讨论之后拟行胸腔镜检查进一步明确诊断。在与患者及家属沟通后,决定实施内科胸腔镜手术。 

          17292457803831281.jpg

10月18日,呼吸与危重症医学科一病区团队在安医大第二附属医院呼吸与危重医学科刘红艳主任医师的指导下,为患者成功实施了内科胸腔镜检查术。术中在患者左侧胸壁切开一个仅约2cm的切口,插入内科胸腔镜,镜下发现脏层及壁层胸膜粘连严重,讨论研判后术中精准实施“经胸腔镜胸膜活检术+胸膜粘连带松解术”。术后患者感觉良好。 

17292457919352873.jpg

此次手术尚属我市首例,该技术开展体现了我院在临床诊疗技术上的不断创新与突破。(供稿:呼吸与危重症医学科一病区


2024/10/18 17:40:22     浏览人次: 11880

返回顶部
  支付宝生活号     微信服务号    微信订阅号     在线留言
滁州市第一人民医院
地  址:安徽省滁州市南谯区醉翁西路369号
邮  编:239000
咨询电话:0550-5330000(南区)0550-3838635(北区)0550—3520225(儿童医院)
网  址:http://www.czdyrmyy.com
打印该页
Copyright © 2020-2022 All rights reserved. 滁州市第一人民医院版权所有